吹上みなみ歯科では、総合的な治療(包括的歯科治療)として、自由診療にて、一人ひとりの口腔内に応じたオーダーメイドの治療を行います。矯正・インプラント・自費義歯などあらゆる方法を用いて、機能的にも審美的にも優れた治療ゴールを目指します。
患者様は、インプラントで支えられる義歯が自然な外観を持つことを望む場合があります。義歯は、周囲の自然な歯と調和し、顔のバランスを損なわずに美しく見えることが重要です。
義歯は快適に装着できることが望まれます。患者は、義歯が歯ぐきや口腔組織に対して違和感や痛みを引き起こさないことを求めます。適切な合わせや咬み合わせを実現するために、義歯のフィット感やバランスが重要です。
インプラントで支える義歯は、咀嚼機能を回復させることが期待されます。患者は、普段の食事や咀嚼活動を正常に行えるようになりたいと考えています。安定した咬合や噛み合わせができる義歯は、食事の制限が少なく、より多様な食材を摂取できることが望まれます。
患者は、インプラントで支えられる義歯が耐久性があり、長期間にわたって機能し続けることを望みます。義歯は日常の摩耗や咬合圧に耐えるべきであり、繰り返しの修理や交換を最小限に抑えることが重要です。
患者は、義歯のメンテナンスが簡単で手間がかからないことを望む場合があります。定期的な歯科検診やクリーニングが必要ですが、日常的なケアが容易であることが大切です。











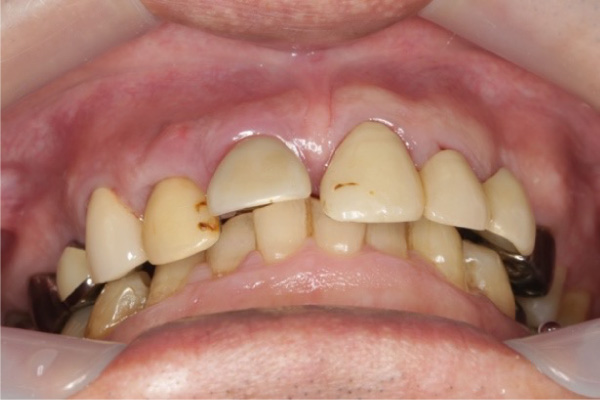
上顎のインプラントと下顎の矯正治療とによる患者満足度向上
下顎の歯並びの改善に矯正治療を行い、また上顎にインプラントを用いました。これにより、機能と美しさの両面を向上させることができました。下顎に歯並びの悩みがあったため、当院では適切な矯正治療をご提案しました。お客様のご要望や症状に合わせて、目立たない白いブラケットを使用し、矯正治療を行いました。下顎の歯並びが改善され、咬合機能や見た目の美しさが回復しました。
また、上顎にはインプラントが装着されています。インプラントは、人工の歯根として義歯をしっかりと支えるため安定性に役立っています。本症例では、上顎に適切な位置にインプラントを配置し、お客様の咬合機能の回復と自然な笑顔の再現を実現しました。
患者様は、インプラントで支えられる義歯が自然な外観を持つことを望む場合があります。義歯は、周囲の自然な歯と調和し、顔のバランスを損なわずに美しく見えることが重要です。
義歯は快適に装着できることが望まれます。患者は、義歯が歯ぐきや口腔組織に対して違和感や痛みを引き起こさないことを求めます。適切な合わせや咬み合わせを実現するために、義歯のフィット感やバランスが重要です。
インプラントで支える義歯は、咀嚼機能を回復させることが期待されます。患者は、普段の食事や咀嚼活動を正常に行えるようになりたいと考えています。安定した咬合や噛み合わせができる義歯は、食事の制限が少なく、より多様な食材を摂取できることが望まれます。
患者は、インプラントで支えられる義歯が耐久性があり、長期間にわたって機能し続けることを望みます。義歯は日常の摩耗や咬合圧に耐えるべきであり、繰り返しの修理や交換を最小限に抑えることが重要です。
患者は、義歯のメンテナンスが簡単で手間がかからないことを望む場合があります。定期的な歯科検診やクリーニングが必要ですが、日常的なケアが容易であることが大切です。








上記の要望と治療のテーマに対応するために、以下のようなアプローチを取ることが考えられます。
1.インプラント治療の適切な計画
患者の口腔の状態や希望を考慮して、咀嚼機能を回復させるために適切なインプラント治療の計画を立てます。自然な外観と装着感を実現するために、インプラントの位置や形態を慎重に検討します。
2.高品質なインプラントの選定
耐久性と長寿命を確保するために、高品質なインプラントを選定します。当院では,世界的に評価の高い信頼性のあるZimvie社のインプラントを採用しています。
3.カウンセリングの積み重ね
患者の希望や不安を理解し、共に治療の目標を設定します。患者とのコミュニケーションを重視し、満足度の高い治療を提供します。
4.歯科衛生士によるメンテナンスの指導
治療後も簡単にメンテナンスできるように、患者に適切な口腔ケアの指導を行います。また、定期的な検診とメンテナンスを重視し、インプラントの健康状態を長期にわたってサポートします。